
Clear aligners are a set of transparent caps which are changed every 2 weeks at home by the patient. They are individually customized to every single case and fitted to each person`s tooth anatomy. They are very thin and transparent so they almost invisible. With today’s technology, clear aligners can provide treatment options to many cases without the need to wear braces.
Since they can be removed, teeth can be cleaned without any additional special manipulations and/or brushes as well as allows the individual to eat whatever he wants without any limitation like braces has. They are generally more comfortable than any other methods for tooth movement and require less and shorter visits to the orthodontist.
There are numerous different brands which provide clear aligners ( “Airnivol” , “Invisalign”, “ClearCorrect”, “3D Smile“, “K-clear” etc.). While most systems having a similar concept, the most important in any case and any system is the treatment plan which is decided by the orthodontist together with the patient. In many cases there is more than one treatment plan and all options are discussed and explained. The final choice of the treatment plan is always made by the patient.

At the end of your orthodontic treatment, it’s crucial to maintain the results achieved. This is most commonly done using retainers, which help keep your teeth in their new positions. However, retainers don’t last forever and need to be replaced periodically to continue functioning effectively. This is where Keepers Club comes in, offering a convenient and affordable process for replacing retainers as needed. Learn more about Keepers Club and how to easily maintain your beautiful smile for years to come.










In general prices depend on the difficulty of the case and on how many aligners are needed to reach the desired result.
The precise number of aligners is viable only after a 3D plan following a consultation.
From 1000€ (one jaw) to 3600€ (both jaws)
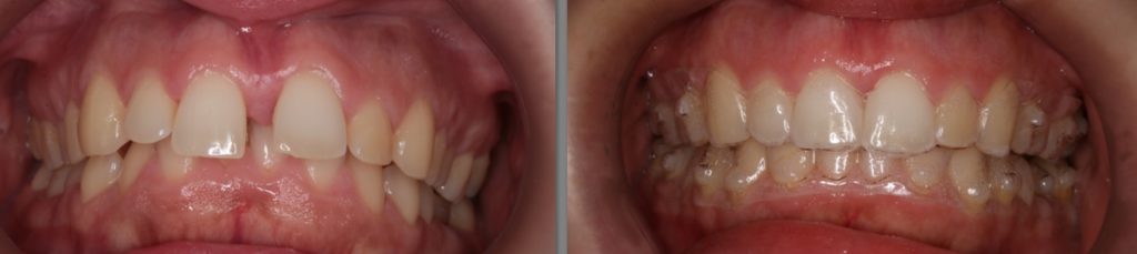
It is true that aligners are most effective and the best option for small movements and easy cases. However, with correct treatment planning it is possible to treat also the most complex cases.
There are indeed some movements that could be difficult and less effective to do only with aligners. In such cases, it is possible to combine other temporary components together with the aligners to make the treatment effective for these specific movements. This sometimes means that some buttons, elastics and/or few braces are added for a temporary period.
Bottom line – it is all about the treatment planning. Those who don’t have the knowledge and the skills to recognize difficult movements and/or plan correctly to solve them, would claim that treatment with aligners is impossible or ineffective. Which is not true!

In this photo you can see how 90 degrees rotation of the tooth in the circle has been achieved. Most dentists will “claim” that rotations over 30 degrees is not possible with aligners or it will take too long. The rotation below has been achieved in 4 (!!) months, very early in treatment. With correct planning and treatment mechanics. This is an example what most will consider “impossible”
This again is a case that most dentists would consider impossible. The result below is 14 months in progress with aligners only. Correct planning is the key.
This is another situation that most dentists and even orthodontist will claim is impossible. Note the green lines below which show improvement in position of the lower teeth. This movement took 12 months to achieve. Only with aligners. Again, treatment planning is the key.
Below you can see 3 examples of extraction space closure done with aligners. Most dentist and even orthodontist would claim that space closure with aligners is not predictable and not effective. In all these cases the spaces were closed under 12 months of treatment
Many claim that aligner can only straight teeth but cannot correct the bite. If aligners can move teeth , which obviously they can, then with correct planning teeth can be moved towards bite correction. In the examples below you can see the bite correction illustrated by the orange lines. Correct bite relationship is when the upper orange line is exactly in the middle of the 2 orange lines.
Most dentists would claim this case could be treated only with braces. That spaces are too big and that the bite is too deep and impossible to correct with aligners. The photos below show 12 months in progress with aligners only.
Most think that all aligners are the same , work the same and provide the same result.
This is 1000% not true. If it is transparent thin plastic that made after the form of you teeth, it does not mean it will work the same way and that the results would be the same. They may look the same , but they are not created and are not planned the same way. Good treatment result almost never depends on which plastic transparent cap you get, it only looks the same because it is simply a plastic transparent cap – you can’t really spot the difference visually – no one can. And unfortunately, this lack of distinction is the biggest problem in clear aligner quality control.
What is the most important part in clear aligners is how they are created and by who. What are the planned movements that are prescribed and made by the treating doctor.
Aligners are moving the teeth – but who is really deciding how they will move? Have you thought about that? Moving teeth safely and in an high standard, requires extensive knowledge in orthodontics and biomechanics.
Teeth straightening with aligners is marketed as orthodontic treatment. This is a correct definition. However, in a lot of cases there is no specialist orthodontist involved in planning or supervision of the treatment. Orthodontic treatment without an orthodontist.
When 3D plan is ready and approved. Aligners are made – these aligners can be made by variety of different plastic material and different techniques and methods – the quality of those can differ. The plastic thickness, elasticity and transparency can also differ. But in the end when they are ready , they will all look almost the same. But are they really?
The saddest part of it all is the effect of this practice on my orthodontic specialty. The aligners will most probably will still move the teeth and most patients will be happy and impressed without knowing it could have been done better or what they are missing. Some of the patients will not be happy, and the blame will be on the aligners. The biggest risk of substandard results is that it makes aligners looks like an ineffective and limited treatment option. Which is not true!
